First
2世代、3世代の患者様が
通える歯科医院
医療法人社団勇心会 あいみる歯科は浜松市中央区志都呂にて2020年4月1日に開院させて頂きました歯医者です。
東京都内の重度歯周病、審美補綴、インプラント治療専門の歯医者での分院長経験を生かし、
この地域の皆様の親子3世代のお口の健康を守る歯医者になりたいとの想いで新規開業をさせて頂きました。
歯医者へ行くときは抵抗や不安を感じる方も多いかと思います。皆様の不安や疑問を少しでも解消しながら
治療を進めて行ければと思っております。歯のことでお困りの方はお気軽にご相談下さい。
Concept
専門分野のスタッフとの
チーム医療を提供
一人の患者様に対して、複雑な症例や他の診療科目にも拘わる特定の症状に関しては、専門職同士の意見交換が重要です。
また各専門職が有する知識や技術を活かすことで、より総合的で質の高い医療が実現できると考えています。
そこで浜松市中央区の医療法人社団勇心会 あいみる歯科では、他院の医師や歯科医師、歯科助手、歯科衛生士、歯科技工士と連携し、患者様一人ひとりに合ったより良い治療計画立案を行っています。少しでも安心して治療を受けていただける環境づくりを行っています。
Greeting ごあいさつ
浜松市中央区の医療法人社団勇心会 あいみる歯科では単純に治療を行うだけでなく、その原因を考察し、予防に至るまで、その症例ごとのオーダーメイドの医療を提供します。
患者様の健康と笑顔のために全力で向き合い、まさに「家族に受けさせたい」と、自信を持って紹介できる歯科医院を目指します。
Prevention
お口の健康は
毎日の予防から
予防歯科という言葉をご存じでしょうか。「予防」は、歯の健康を維持するための最も効果的な方法であり、早期に問題を発見・対処することで、将来的な治療の負担を軽減できます。定期的に通院している方ほど健康な歯を保てることが示されています。
痛みが出てから歯医者で治療するのではなく、痛みを感じる前に、ぜひ毎日のお口のケアや定期的な歯医者の受診を習慣化しましょう。浜松市中央区の医療法人社団勇心会 あいみる歯科は予防歯科治療を重視し、専門的なクリーニングと具体的なセルフケアの質を向上させるアドバイスを行っています。
Aesthetic
治療中も治療後も
美しく健康に
矯正歯科治療では装置選びも重要です。
なぜなら金属製のワイヤー装置が見えてしまうことで審美性が損なわれることがあるからです。そんなとき、目立たないマウスピース矯正を選べば、自然な笑顔を保ちながら理想の歯並びを手に入れることができます。
また治療後の口もとをきれいに見せることもご相談ください。歯を削ったあとにはセラミック治療で自然な歯の美しさを手に入れ、ホワイトニングで明るい笑顔を引き出します。これらの審美的観点のアプローチで治療中も治療後も美しい口もとになるよう提案しています。
Implant
歯を失っても
しっかり噛める
インプラント治療
歯を失ったあとそのままにしていることはないでしょうか?
歯を補なわずにいると、周囲の歯の安定性が悪くなったり、日常生活の質を低下させることに繋がります。
インプラント治療は、歯を失った際の選択肢の1つです。大きな特徴として見た目や咬み心地が天然歯に非常に近く、噛む力や発音も自然に仕上がる点です。また、術後のメインテナンスをしっかり行えば、長期にわたって安定するため、健康な笑顔を取り戻したいとお考えの方はぜひご検討ください。
Case 症例紹介
- すべて
- 審美歯科
- インプラント
- ホワイトニング
- 入れ歯
- 矯正歯科
- メンテナンス
- オールオン
-

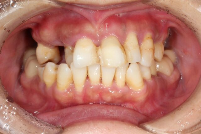
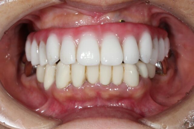
( Before )
-

( After )
| 治療内容 | インプラント |
|---|---|
| 費用 | 770,000円~902,000円 |
| 治療期間・回数 | 6回(治療相談~setまで) |
| 副作用・リスク | 保険適応外 |
-

( Before )
-

( After )
| 治療内容 | セラミック |
|---|---|
| 治療方法 | e-max Cr |
| 費用 | 528,000円(88,000円×6本) |
| 治療期間・回数 | 2~3回 |
| 副作用・リスク | 保険適応外 |
-

( Before )
-

( After )
| 治療内容 | インプラント |
|---|---|
| 費用 | 770,000円~902,000円 |
| 治療期間・回数 | 6回(治療相談~setまで) |
| 副作用・リスク | 保険適応外 |
-

( Before )
-

( After )
| 治療内容 | ホワイトニング |
|---|---|
| 治療方法 | ホームホワイトニング 2クール (1クール:ジェル6本) |
| 費用 | 42,900円 |
| 治療期間・回数 | 1ヶ月 |
| 副作用・リスク | 知覚過敏 食事制限(2時間) |
現在、表示する内容はありません。
-

( Before )
-

( After )
| 治療方法 | ワイヤー矯正 ハーフリンガル |
|---|---|
| 費用 | 840,000円+調整料 |
| 治療期間・回数 | 3年 |
| 副作用・リスク | 保険適応外 治療期間が長期 |
Recruit
一緒に働くスタッフを
募集しています!
- 社会保険完備
- 交通費全額支給
- セミナー費負担
- 患者担当制
- 産休・育休あり
- 時短勤務可
浜松市中央区の医療法人社団勇心会 あいみる歯科は患者様を中心に考え、思いやりのある治療環境づくりを行っています。様々な治療方を通じて患者様の健康をサポートしたい、共に成長していきたいと考えているあなたのご応募をお待ちしています!
求人情報
アクセス Access
〒432-8069
静岡県浜松市中央区志都呂1-4-16
JR「浜松駅」北口から路線バス「山崎」「舞阪」行に乗車
バス停「西見寺入口下車」徒歩1分
駐車場:有り



